漳州第三医院:彩超引导精准治疗 缓解顽固带状疱疹神经痛
今年47岁的许先生(化名),最近十几天可遭了大罪!右侧大腿莫名疼了起来,不是那种普通的酸痛、胀痛,而是像针扎、像触电一样,一阵一阵的,疼起来钻心刺骨,站也不是、坐也不是,连晚上睡觉都能被疼醒。
为了治这个疼,许先生跑了好几家医院,吃药、敷药、做理疗……尝试了各种方法,可疼痛一点都没缓解,反而越来越严重,整个人被折磨得没精神。
就在许先生愁得不知道该怎么办的时候,朋友给了他一个建议,说漳州第三医院有个疼痛专病门诊,专门治各种顽固疼痛,好多人都是慕名而去,效果特别好。抱着试试看的心态,许先生赶紧找了过去。
接诊的吴树鑫医生特别有耐心,听许先生详细说了自己的疼痛情况,又仔细检查了他的大腿——只见右大腿皮肤上,有一大片已经结痂的疱疹,用手轻轻一碰,许先生就疼得直咧嘴。结合检查结果,吴树鑫医生很快就判断出,许先生得的是带状疱疹神经痛。
可能有人不清楚什么是带状疱疹神经痛,简单说就是咱们常说的“缠腰龙”“蛇缠腰”引发的疼痛,哪怕疱疹结痂好了,神经上的疼痛也可能持续很久,像针扎、电击、火烧一样,特别顽固,严重影响正常生活。

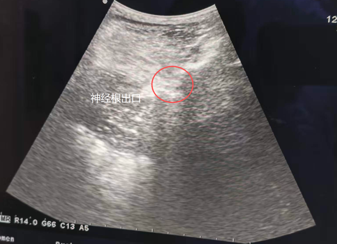
随后,吴树鑫医生为许先生制定了门诊彩超引导下的神经根阻滞治疗——简单说,就是在彩超的精准引导下,行相应神经根阻滞治疗后,许先生立马就感觉大腿不疼了,那种针扎、电击一样的刺痛感消失了。“太神奇了!折磨我十几天的疼,一下子就没了,终于能睡个安稳觉、吃顿踏实饭了!”许先生激动地说,困扰自己多日的难题解决了!

