漳州第三医院以精准保守治疗,成功挽救89岁熊猫血脑出血老人生命
熊猫血
一个自带“稀有”标签的血型
它并非来自熊猫
而是医学上的Rh阴性血
因在人群中极少见
被形象地称作“熊猫血”
当高龄熊猫血老人
遭遇重型颅脑损伤
多重危险因素叠加
每一秒都在与死神赛跑
他们,有一场“生命硬战”要打
89岁熊猫血老人重型颅脑损伤
医生用保守治疗抢回一命
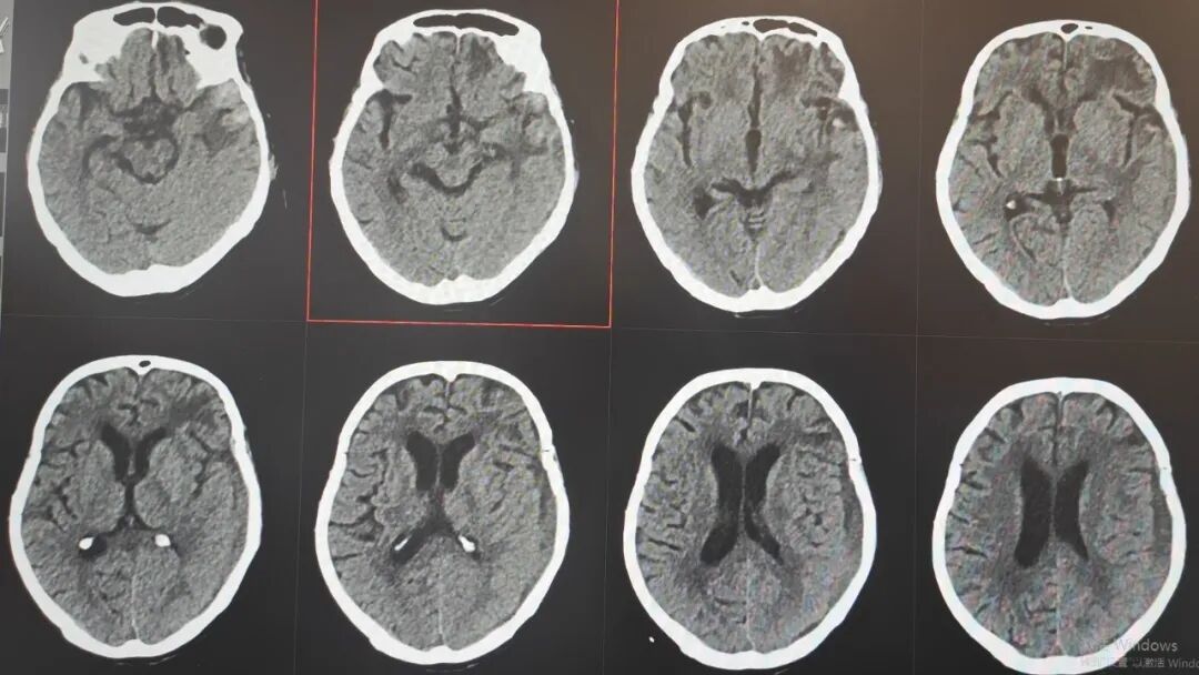
89岁的吴阿婆(化名)突发意外,被发现时已意识不清、陷入昏迷。家人发现后,紧急将其送往漳州第三医院,检查结果令人揪心:重型颅脑损伤、脑内大面积出血,加之O型Rh(D)阴性熊猫血、严重贫血……多重致命高危因素叠加,病情十分危重。



入院时
如此复杂凶险的状况,在常人看来几乎已是绝境!但漳州第三医院神经外科团队没有放弃,考虑到阿婆身体条件极差、血型特殊、手术风险难以预估,最终摒弃常规开颅方案,为她量身制定了个体化精准保守治疗方案,在绝境中为生命守住一线希望。
不开颅,他们硬是
把人从鬼门关拉了回来
那段日子,病情几度反复、险象环生,医护人员寸步不离守在床前,24小时紧盯生命体征,精细调整每一步治疗方案,昼夜不敢有丝毫松懈。在一次次与死神的拉锯中,他们凭着耐心与坚守,终于等来了转机:阿婆从深度昏迷慢慢睁开双眼,从卧床不起到能在搀扶下缓缓起身,每一个微小的进步,都藏着无数个日夜的坚守与温暖,让绝境之中绽放出生命的微光。


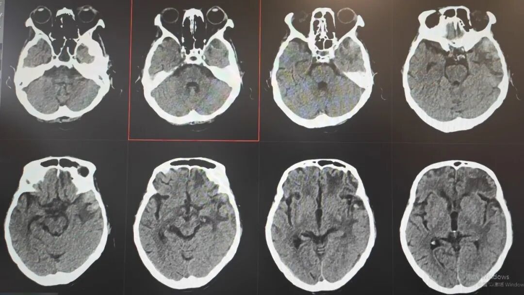
出院时

如今,吴阿婆已顺利闯过最凶险的危险期,身体恢复良好,已经康复出院。家属看着老人从命悬一线到平安好转,激动又难以置信,反复向医护人员表达着最真挚的谢意,这份跨越绝境的重生,是医患同心最温暖的见证!
在漳州第三医院神经外科团队
林友城副院长的带领下
全体医护以精湛技术为刃
以仁心守护为盾
在重重险境中为生命拼出一条生路
用坚守与担当诠释医者使命
愿吴阿婆平安健康
也愿每一位家中的老人
都能被温柔守护、岁岁安康
