漳州第三医院骨科团队顺利完成机器人辅助下单髁翻修全膝手术
机器人辅助关节置换手术代表了医疗技术未来的发展方向,提供了更精确、更个性化的手术方案,改善了患者的疗效和生活质量。随着技术的不断进步和普及,我们有望看到更多的患者从这一创新手术中受益。骨三科团队在张峰主任的带领下,长期致力于关节外科手术技术的钻研与创新,对各类关节疾病的治疗积累了丰富的临床经验。
此次接受手术的患者,此前曾因膝关节疾病接受过单髁置换手术,但术后反复扭伤导致韧带损伤,反复膝关节不稳疼痛,要求解决膝关节疼痛问题。
经多方咨询了解来到漳州第三医院。但由于传统的膝关节置换翻修术中存在骨质缺损及必要的解剖标志作为参考,这使得使用传统器械及手术方案进行翻修会导致测量定位困难、精准度低的问题。张峰主任及其团队在详细检查患者病情、与患者充分沟通并获得同意后,决定采用机器人辅助单髁翻修全膝手术方案。


术前
术前,团队借助机器人系统对患者膝关节进行三维建模,清晰还原骨骼结构、骨缺损程度及假体位置。在此基础上,团队量身制定个性化手术方案,精准规划截骨范围、假体型号及安放角度,让手术的每一步操作都有“数据导航”作为支撑。

术前规划

在术前规划中CT界面可看到原有单髁假体的情况

在术前规划中依据单髁假体情况设计翻修全膝假体的位置及截骨量

术中根据软组织的情况微调假体及截骨量

术中股骨注册精度图

术中股骨注册精度图

术中胫骨注册精度图

术后伸直间隙
规划 20.5mm 20mm
实际 21mm 20mm

术后屈曲间隙
计划 20mm 17mm
实际 20.5mm 19mm
手术过程中,骨三科团队通过操控机械臂实施截骨,操作精度达到毫米级,使得膝关节假体被精准安放在理想位置,由此患者术后下肢力线得以完美恢复。与此同时,这种高精度操作大幅减少了对软组织的松解干扰,不仅显著减轻了患者的疼痛感,还有效降低了术中出血量。


术后第一天,患者在骨三科医护人员的指导下便能下床行走,肢体活动度良好,原有疼痛症状消失。患者及家属对此结果十分满意。在后续的住院期间,骨三科医护团队为患者制定了个性化的康复方案,最终助力患者顺利出院。


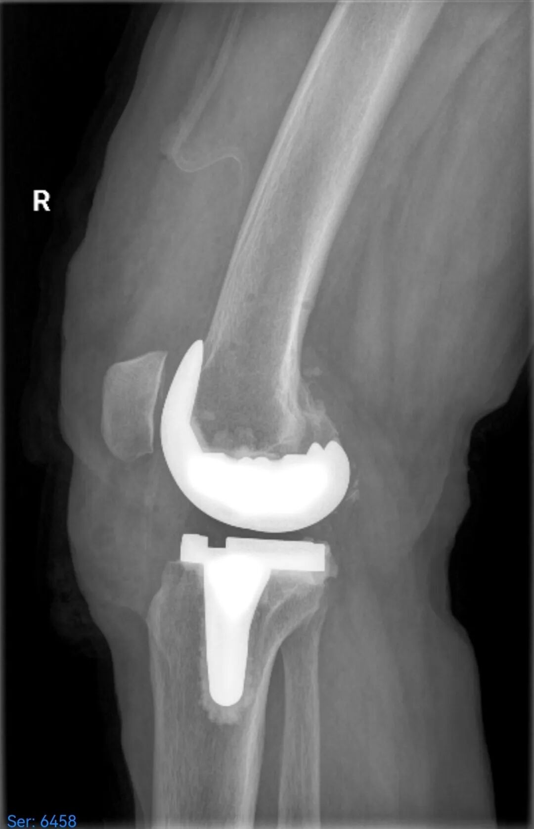
术后
“技术的价值,在于让更多人受益。”在漳州第三医院骨三科,以张峰主任为核心的团队早已凭借丰富的技术经验和精准的临床操作,在关节外科领域积累了深厚经验。据悉,由于初次手术植入物的金属伪影、骨缺损等不确定性等问题,用于膝关节置换翻修术的机器人研发难度较大,受制于其不确定性,国内外医生对机器人翻修术皆鲜有尝试。如今,张峰主任团队更将机器人辅助技术融入复杂关节手术的日常诊疗中。他们在自身原有精准操作的基础上,进一步发挥手术机器人的精准优势,形成“双重精准”的叠加效应,为漳州地区及周边的膝关节疾病患者,提供高效、安全的治疗方案,让每一位受关节疾病困扰的人,都能在“家门口”重获行动自如的生活,让先进医疗技术真正成为守护区域健康的坚实力量。
