漳州第三医院精准护航,8.5cm巨大肌瘤下喜迎新生命
近日,一名特殊的足月产妇在医护团队的精准护航下,成功跨越“肌瘤大山”,顺利诞下健康宝宝,母婴平安。该产妇为经产妇,此次妊娠合并巨大子宫肌瘤,瘤体直径达8.5cm,接近足月胎儿胎头大小,且位置极为特殊——宫颈内口可触及大部分凸向宫腔的瘤体,如同一块巨型“绊脚石”,随时可能引发梗阻性难产,给母婴安全带来极高风险。
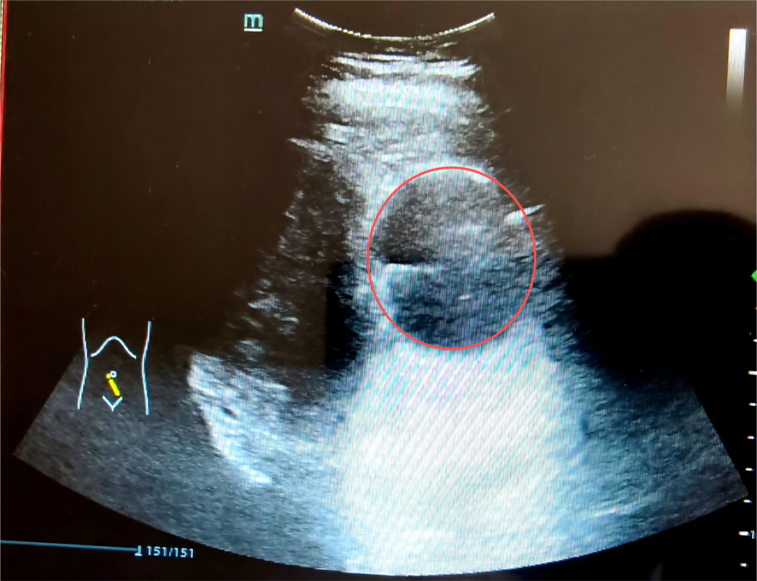
彩超提示:孕妇宫体肌壁可见一个异常回声结节,大小约83mm*72mm*83mm(前壁下段)。

术前评估中,陈琴妹主任团队综合考量产妇情况:作为经产妇,胎儿估测体重3400g,若排除肌瘤梗阻,具备阴道分娩基础条件,头盆评分符合试产标准。团队制定个体化方案:优先尝试阴道试产,全程严密监测产程进展,一旦出现停滞或其他产科急症,立即转为剖宫产终止妊娠,同时做好预防产后出血等严重并发症的万全准备。
产程推进至宫口开至8cm时,胎儿先露部仅达S-3cm,进展受限迹象明显。医护团队果断将产妇转入产房手术室,实施高位人工破膜术,精准规避脐带脱垂风险。破膜后,宫缩助力下胎儿先露部顺利下降至棘平,宫口顺利开全,但此时医护人员在胎头下方一侧仍清晰触及肌瘤轮廓——这个“拦路大山”仍在阻碍胎儿娩出。
“宫缩时集中发力,跟着节奏用腹压!”医护团队全程一对一指导产妇调整呼吸与用力方式,精准把控产力方向。尽管宫缩时胎头下降显著,但间歇期回缩明显,印证了肌瘤对产道的持续压迫影响。团队随即调整策略,引导产妇通过优化腹压发力角度,促使凸向宫腔的肌瘤向盆腔后壁移位,为胎儿娩出开辟通道。经过数小时的通力协作,在产妇的顽强坚持与医护团队的专业护航下,宝宝成功“跨越”肌瘤阻碍,顺利降生,啼哭声宣告着这场高危分娩的初步胜利。

产后挑战接踵而至:尽管已预防性使用强效宫缩剂,产妇阴道出血量仍持续偏多。检查发现,肌瘤因分娩时的产力冲击与产后宫缩引起宫腔形态变化,再次鼓向宫腔,体积仍如儿头大小,导致子宫收缩乏力,瘤体表面出血,以致出血难以控制。医护团队当机立断,实施宫腔水囊填塞术,精准压迫止血,术后出血量迅速减少,成功化解产后出血危机。
医学解析:宫颈肌瘤妊娠的双重风险与精准应对
子宫肌瘤是妊娠期间引发宫缩乏力、产后出血的重要危险因素,而宫颈及下段肌瘤因位置特殊,更易造成产道梗阻,增加梗阻性难产风险,给分娩带来双重挑战。
此次案例中,陈琴妹主任团队打破“巨大宫颈肌瘤必剖宫产”的常规认知,基于精准评估制定试产方案,既充分尊重产妇阴道分娩意愿,又通过全程严密监测、关键节点精准干预,成功克服肌瘤梗阻难题。同时,针对产后出血的高危因素,提前预判并及时采取水囊填塞等有效止血措施,最终避免了剖宫产相关风险,实现母婴安全,为同类高危妊娠的临床处置提供了宝贵经验。
